
Common diseases
Rare association
Clinical definition1
Lung disease characterized by chronic obstruction of lung airflow that interferes with normal breathing and is not fully reversible.
1. Global Initiative for Chronic Obstructive Lung Disease (GOLD) https://goldcopd.org/




Increased RV (a static lung volume) in COPD
Chronic Bronchitis
The presence of a chronic productive cough for 3 months in each of 2 successive years, provided that other causes of chronic cough have been ruled out
Emphysema
Destruction of alveolar walls and the permanent enlargement of the airspaces distal to the terminal bronchioles, without obvious fibrosis
Asthma
Reversible smooth muscle contraction that narrows the airway lumen, limiting expiratory airflow and resulting in symptoms including wheeze, cough, and exertion dyspnea
Airway-dominant phenotype
Emphysema-dominant phenotype
Mixed phenotype
We can make these distinctions on CT.

The effects on lung volumes correlate well with functional capacity and symptoms
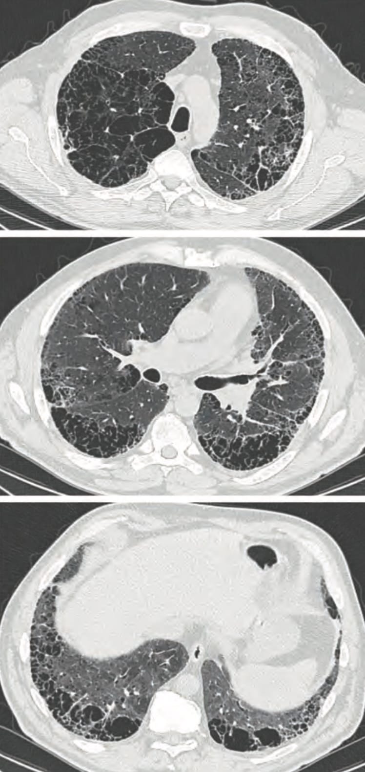
Static hyperinflation
Dynamic hyperinflation

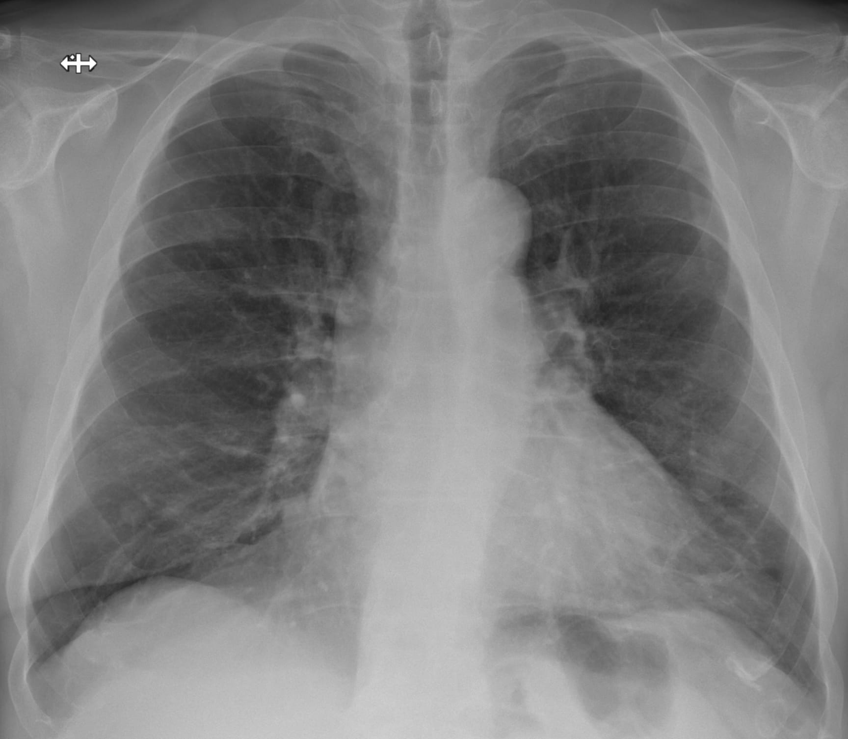
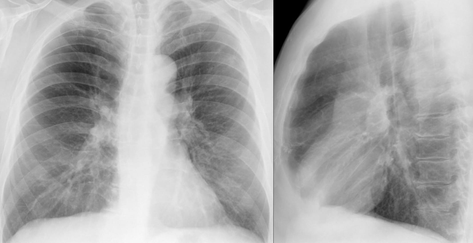
Note: bronchial wall thickening
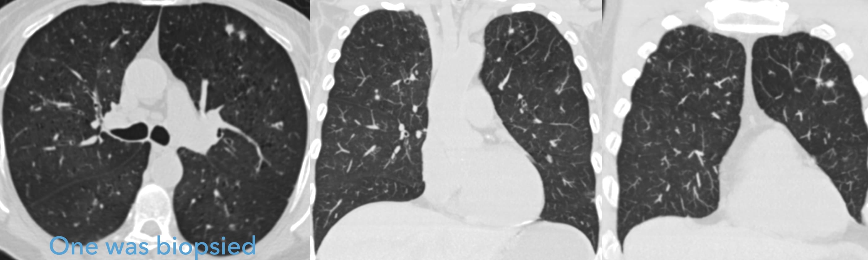
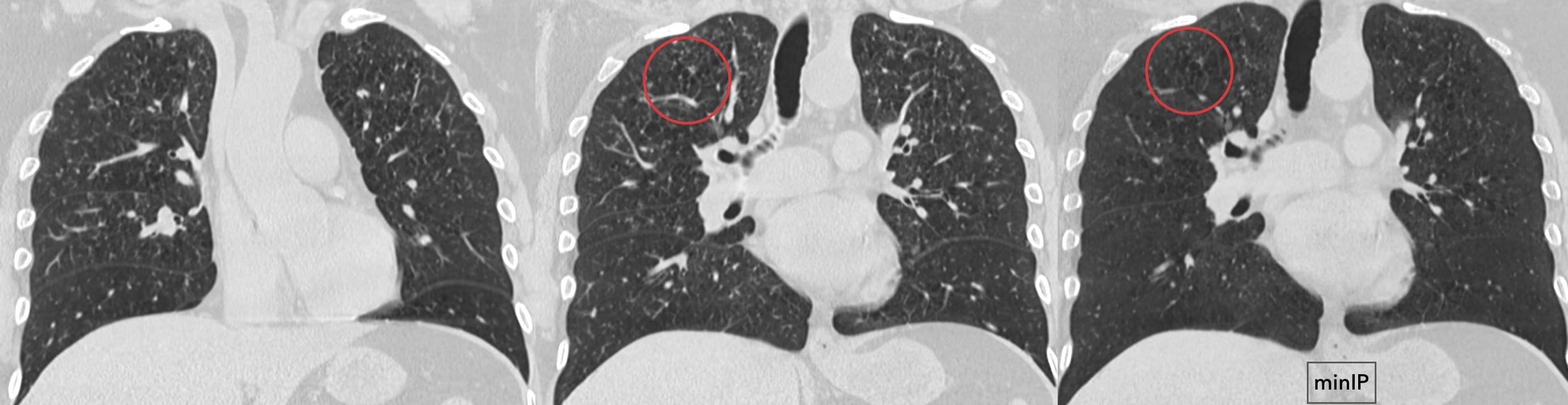
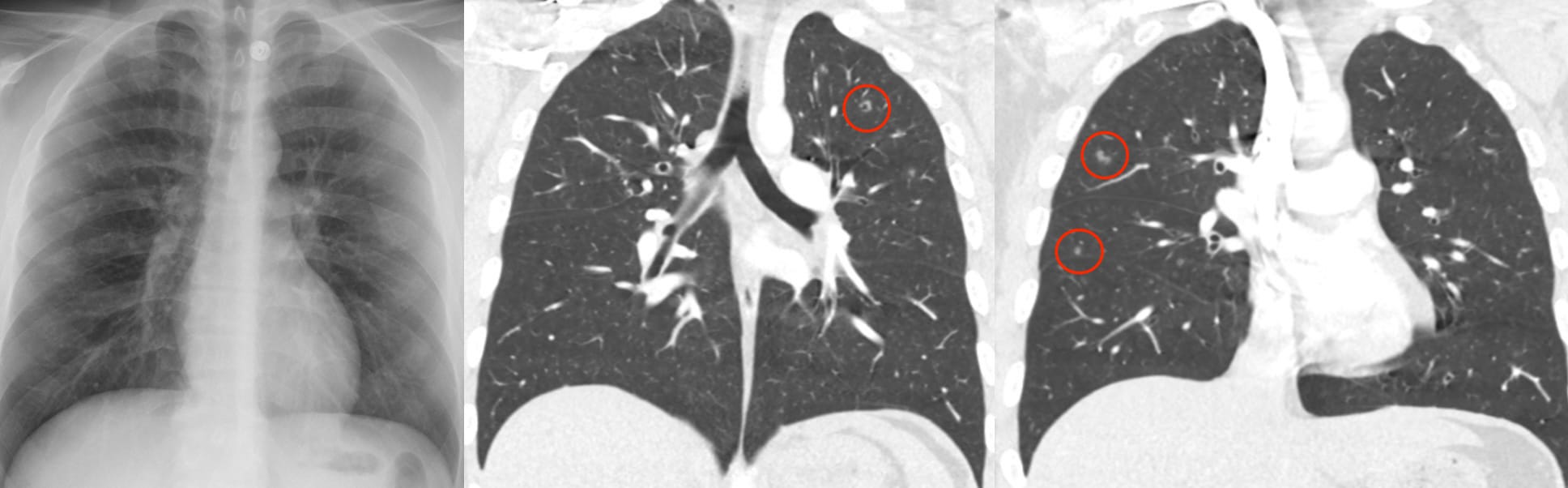
What are Langerhan’s Cells ?
The evolution of pulmonary histiocytosis (PLCH) accounts for the imaging findings:
Key Points
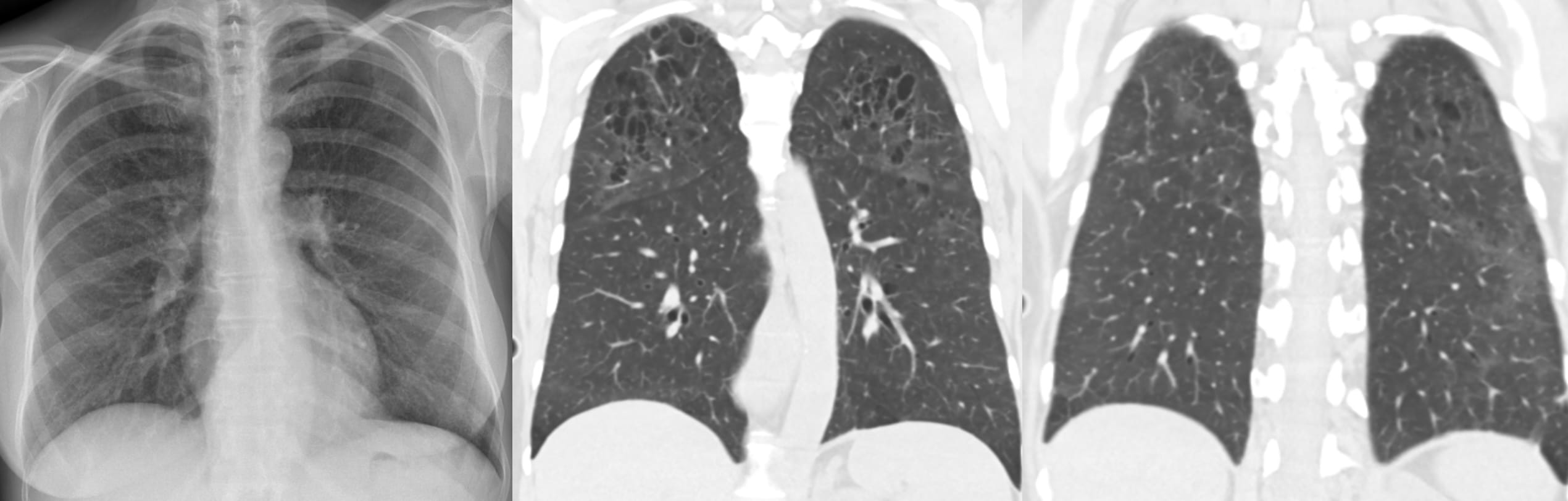
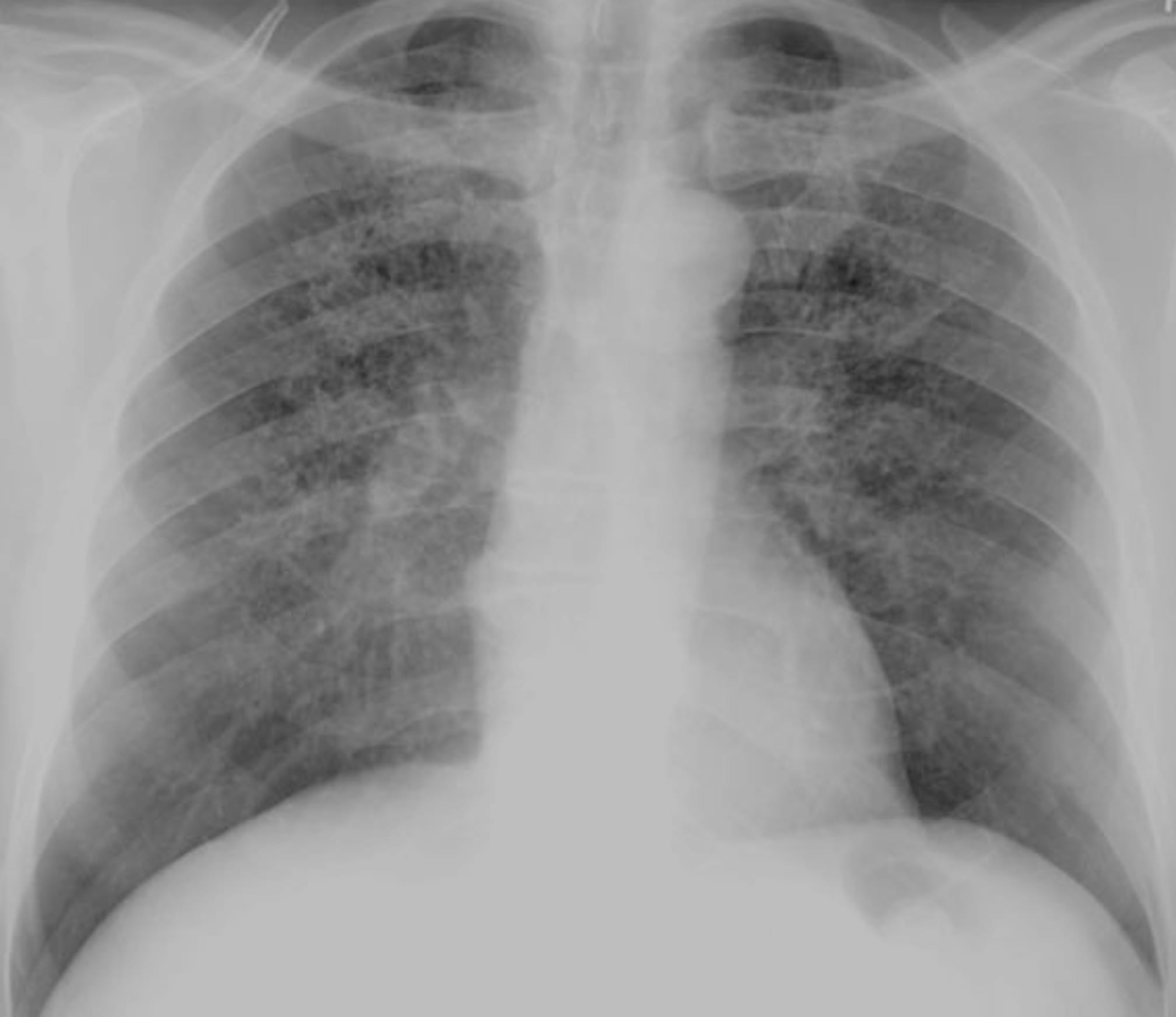
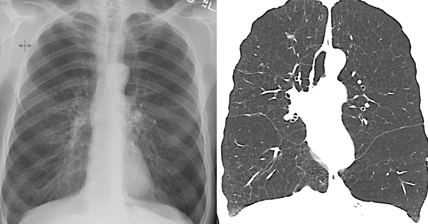
Note the predominant involvement of the upper lungs.
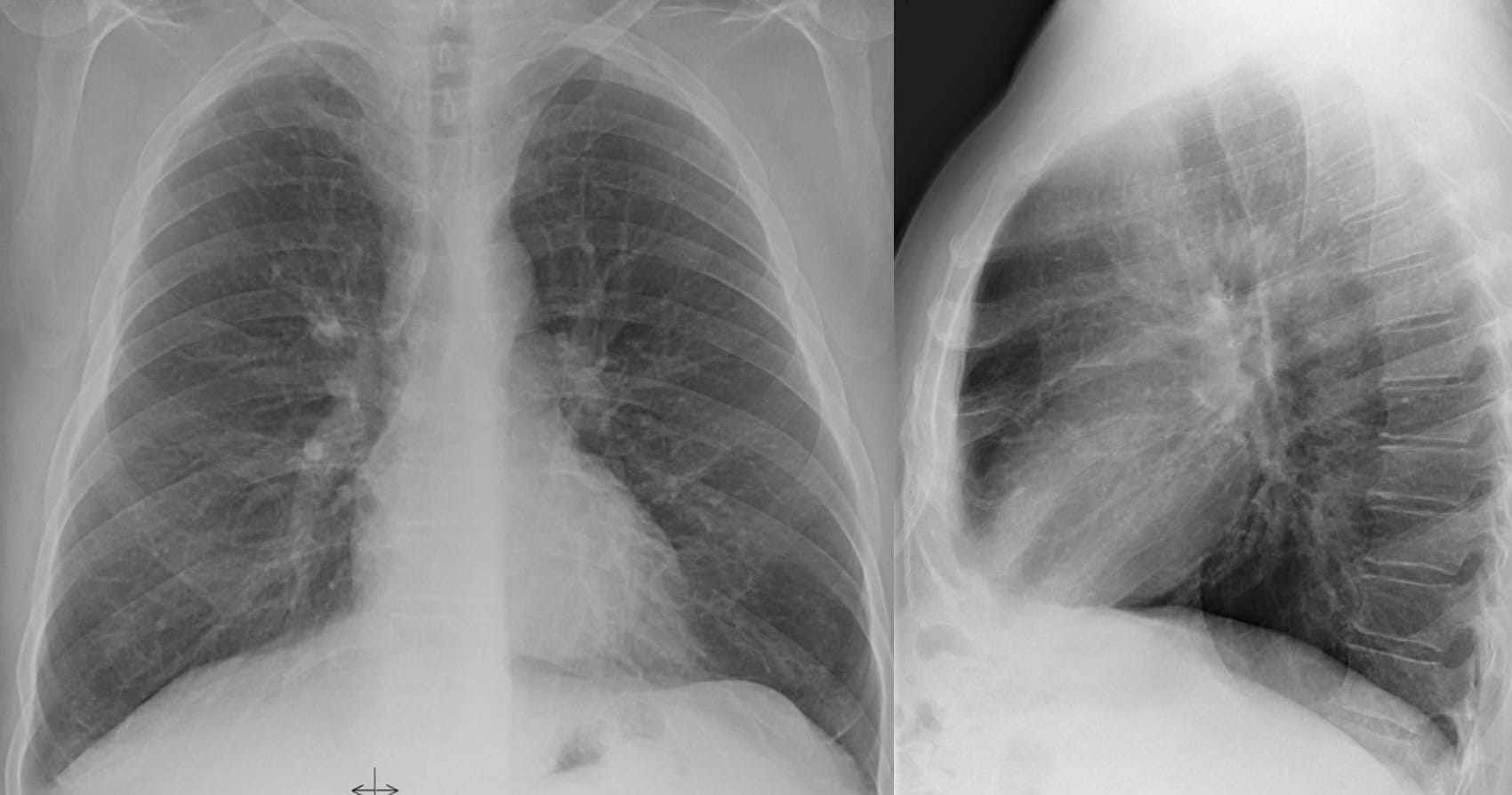
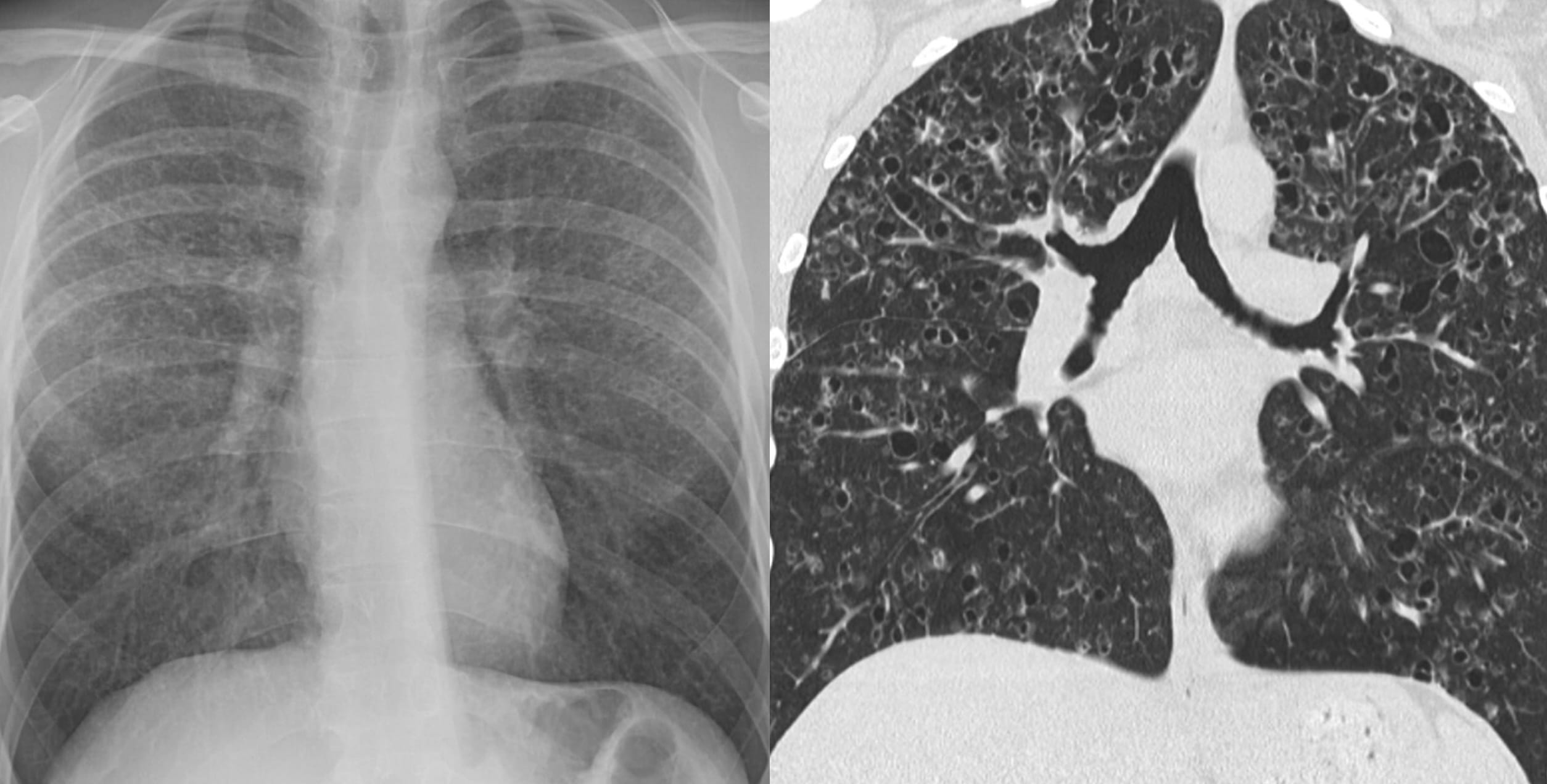
The very definition of an Aunt Minnie
Another Aunt Minnie



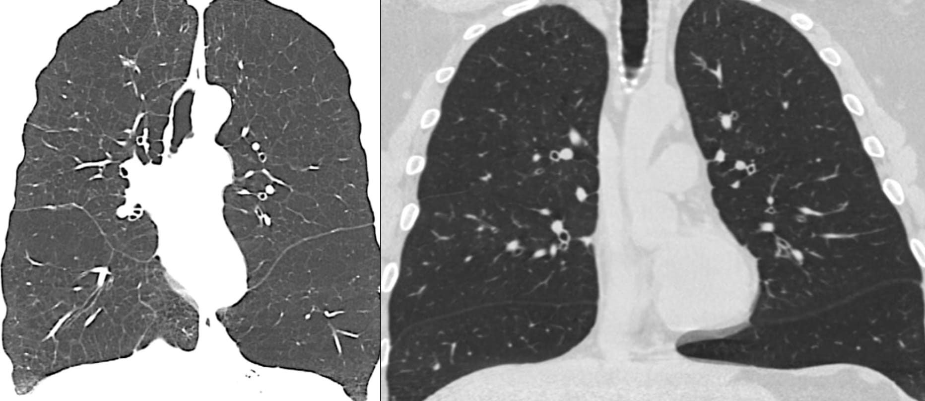
It’s a matter of how many I put there with my macrophage spray can…
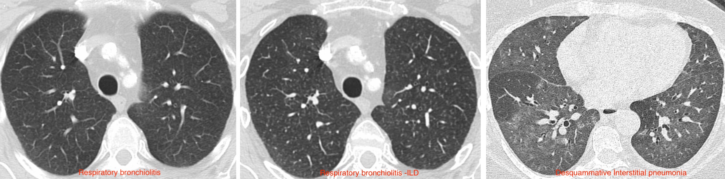
Should we really discard DIP ?
Update of the International Multidisciplinary Classification of the Interstitial Pneumonias: An ERS/ATS Statement. Eur Respir J 2025; (https://doi.org/10.1183/13993003.00158-2025).
• Alveolar [Smoker’s] Macrophage Pneumonia (AMP) replaces Desquamative Interstitial Pneumonia
Finally! Why did it take so long ?
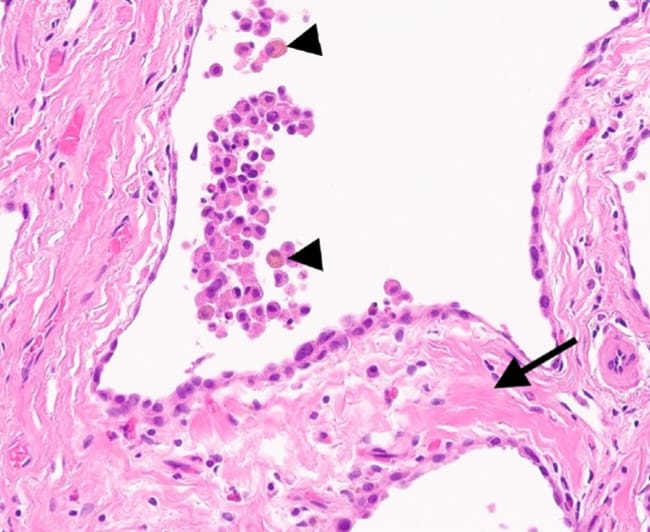
Pathology
Distinctive accumulation of swaths of “ropey collagen,” particularly in the subpleural lungs
arrow: ropey collagen arrowhead: pigmented smoker’s macrophages

Source: Vehar, et al.SRIF https://doi.org/10.1093/ajcp/aqac144
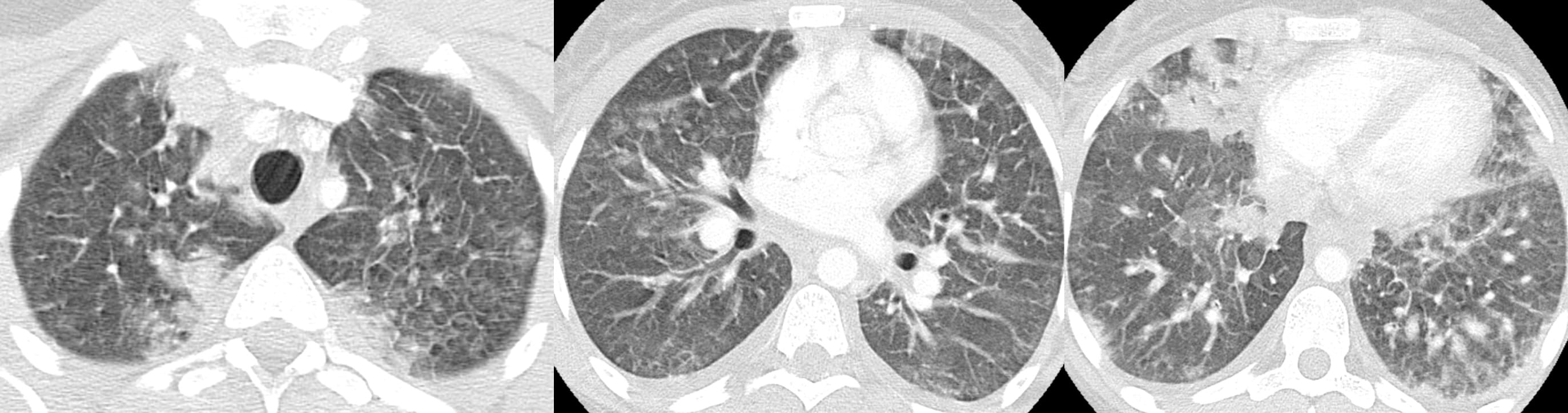
Yes, we cannot tell how much of the opacity is SRIF versus Smoker’s Macrophages versus both!
Suggested reporting terminology
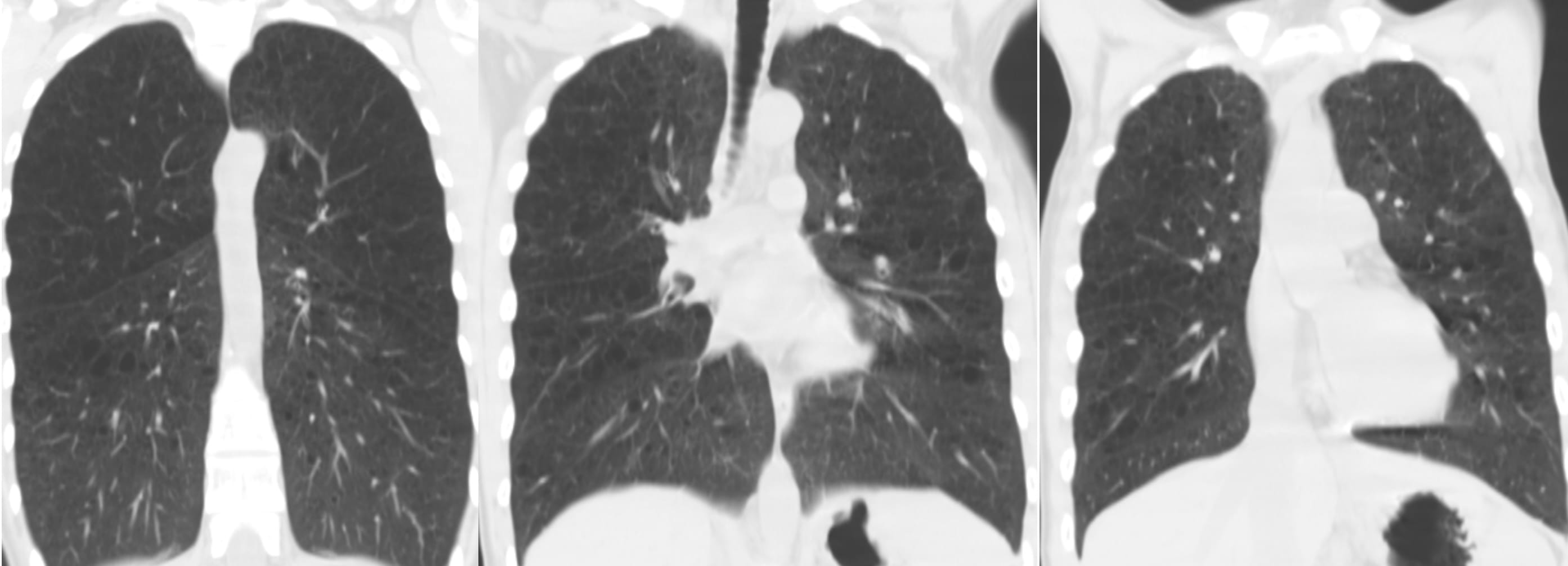
“Findings of Smoker’s Lung are present in the form of: centrilobular emphysema in the upper lungs and patchy pulmonary ground glass opacities, consistent with accumulation of Smoker’s Macrophages and, possibly, Smoking-Related Interstitial Fibrosis.”
From the article:
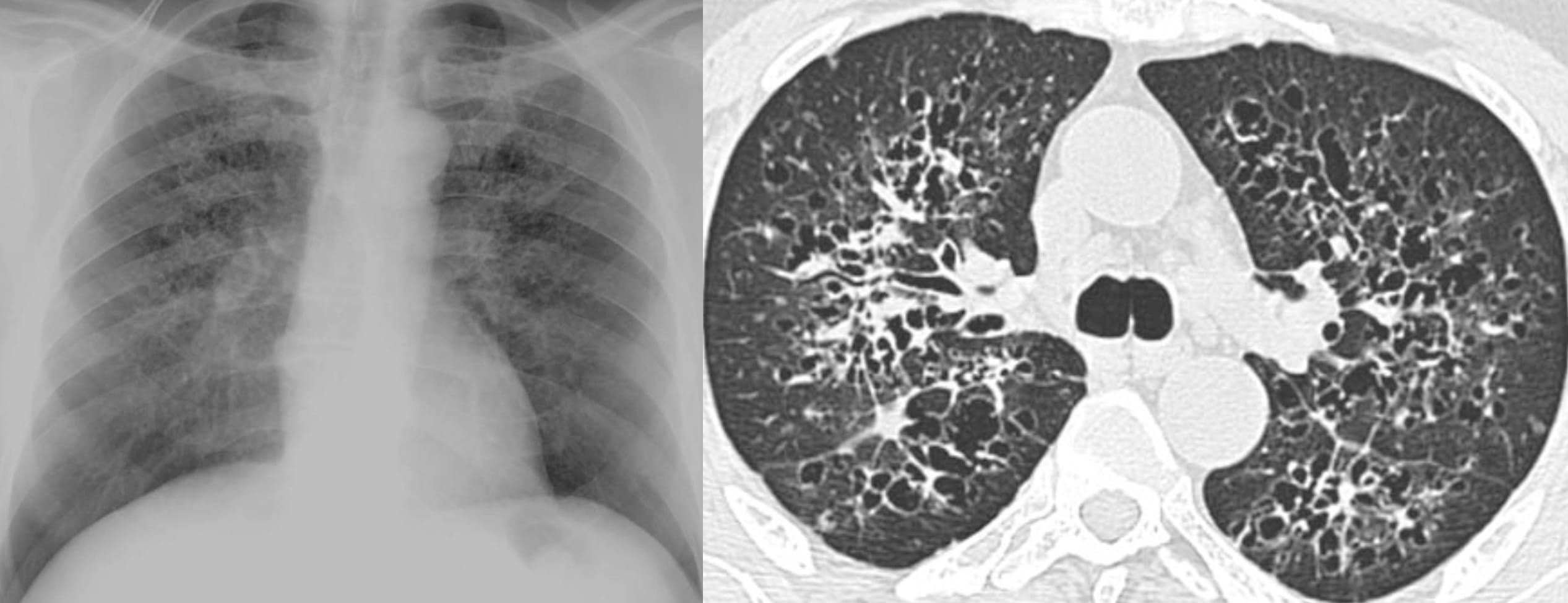
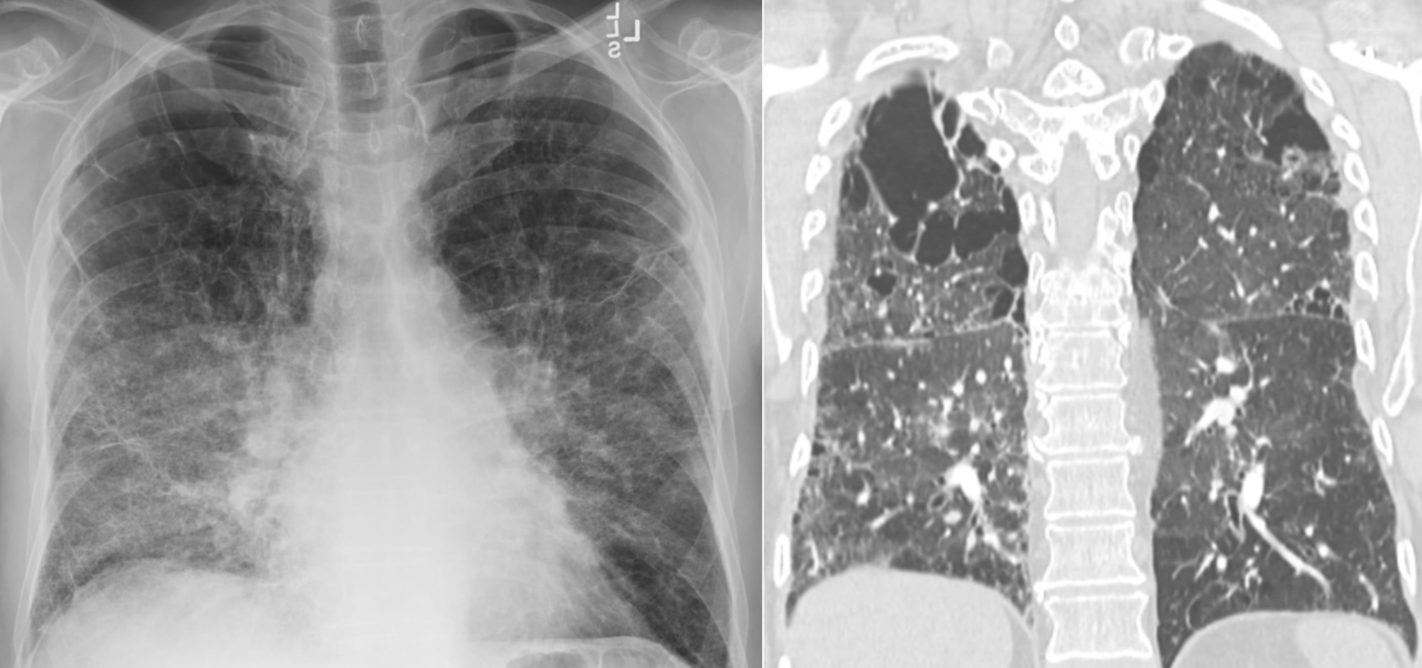
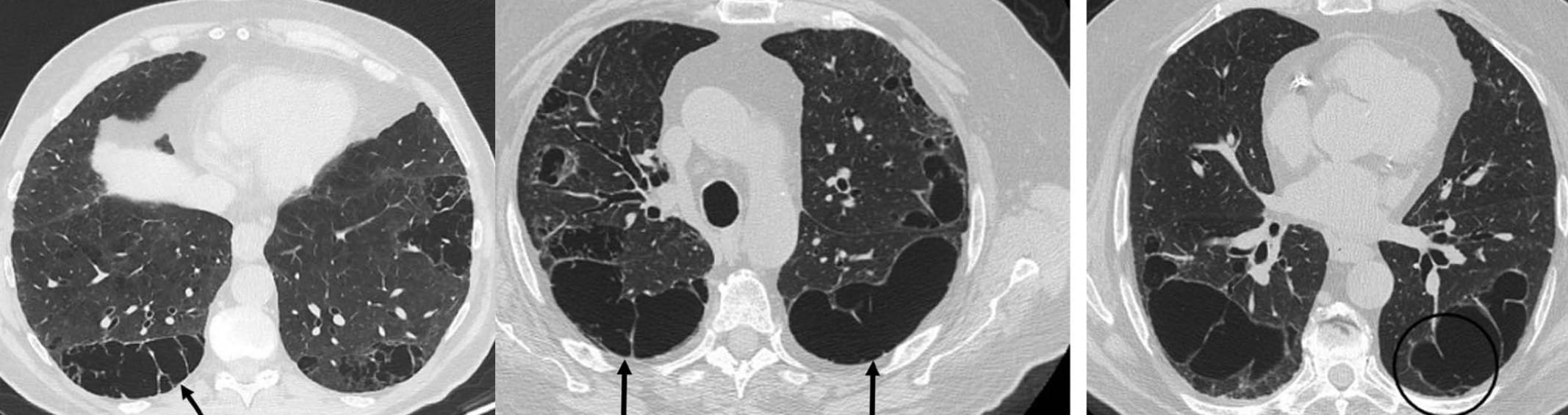
“The cysts’ diameters in AEF are significantly larger than those in UIP and NSIP, but, at the same time, the walls are significantly thinner than those of UIP and thicker than those of centrilobular emphysema (CLE)”
Examples from the article:
One observation seems relevant: the cystic spaces may be situated away from the pleural surface.


Attributing a cause-and-effect relationship
